高龄骨科中心介绍 详细介绍
高龄骨科专业特色
宣武医院骨科脊柱组一直致力于推动老年脊柱在全国范围内的发展,目标是尽可能保障老年脊柱患者围术期安全,提高远期生活质量。自2015年以来,在鲁世保教授的带领下,形成了以高龄脊柱疾病为中心的临床诊疗和科研体系。2019年,在医管局获批了全国首个高龄骨科研究型病房(以脊柱为主),并获得国家科技部项目(总经费1500万元)和北京市实验室建设项目(总经费5000万元)的支撑。
近年来宣武医院骨科脊柱组围绕老年脊柱做了以下工作:
1)建立了高龄肌骨生物力学及电生理实验室,利用生物力学(包含运动学)理论和神经电生理系统研究骨科中老年肌骨系统老化和退变的临床问题,从“观骨治骨”的理念,转变到肌骨运动系统综合评估和整体治疗的新思维中,构建老龄骨科“防、诊、治、康”的特色医疗服务体系,秉承预防大于治疗,诊断精于治疗,治疗并行康复的原则,努力降低各种并发症,使临床效果和社会效益最大化。
2)组织多位专家撰写了《高龄脊柱患者围手术期多学科评估中国专家共识》,建立了围术期多学科评估与辅助决策系统( APPLE-MDT ),自2018年1月至2020年底,已对500余例75岁以上高龄骨科手术患者实施了围术期多学科评估,满意率达到92.6%。
3)制定了全国首个《高龄脊柱患者围术期快速康复(ERAS)专家共识》,并率先建立脊柱快速康复外科病房,至2020年底已入组1100例脊柱外科病例,属国内规模领先的脊柱ERAS患者队列,较实施ERAS前缩短了平均住院日4天左右,降低了药占比和耗占比,国际脊柱ERAS文章30篇,其中国内8篇,宣武医院4篇。
4)在国际上首次提出脊柱矢状面失衡症,倡导老年矢状面畸形的量化矫正策略,根据矢状面失衡的病因分为退变源性、创伤源性、医源性、肌源性等。针对不同病因及畸形程度,采取包括SPO、Ponte、PSO、VCR等多种截骨方式进行矫正。
5)主张对老年脊柱侧弯的冠状面平衡实施匹配矫正理念,首次提出以平衡贡献度来区分主弯和代偿弯,并形成新的冠状面分型,根据不同的分型,选择不同的截骨方式和矫正策略,获得了满意的临床疗效。
6)首创杠杆复位法治疗退变性腰椎滑脱,针对骨质疏松患者内固定把持力有限的缺陷,采用杠杆复位法大大降低内固定失败并发症,提高了滑脱复位率,获得国家专利1项。
7)创新老年腰椎管狭窄的精准诊断技术(T2space),针对老年多节段退变引起的腰椎管狭窄症,采用T2-space技术可以做到神经根全程显影,极大的提高了精准诊断的准确率,对于老年腰椎疾病的精准诊断和精准治疗有很大帮助。
在科主任鲁世保教授的带领下,宣武医院骨科脊柱组在临床和科研上均取得了长足的进步,每年完成手术量近3000台,其中脊柱融合手术近2000台。近年获得科技部重点课题1项,国自然3项,省部级课题3项,市局级课题4项,获得国家专利10项,在国内外期刊发表论文超过100篇。
首都医科大学宣武医院骨科关节专业组以治疗膝关节及髋关节置疾患为主,以膝关节置换、髋关节置换、肢体矫形、膝关节部分置换(单髁关节置换、髌股关节置换)、股骨头坏死治疗及老年股骨颈骨折的治疗为特色,取得了非常好的治疗效果。特别是依托宣武医院老年研究中心,对老年患者的手术积累了非常丰富的治疗经验。
股骨颈骨折常见于老年患者,发病后并发症多,手术风险大,关节专业组对此类患者的治疗积累了丰富经验。每年接收来自全国各地因手术困难、手术风险高的关节疾病患者来院就诊,均取得理想治疗效果。骨科关节专业组每年完成手术近600台,其中股骨颈骨折的老年患者超过100台。

图1 膝关节内侧间室骨关节炎,行内侧间室单髁置换术

图2 膝关节髌股关节炎,行髌股关节置换术

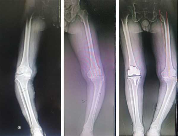
图3 双膝关节骨关节炎,内翻畸形严重,行右侧全膝关节置换术

图4 老年股骨颈骨折患者行全髋关节置换
髋部被称为“人生最后一次骨折”的髋部骨折一般指的是股骨颈及股骨转子间骨折,多数患者年龄偏大且患有慢性病,尤其以绝经后的妇女居多。主张老年髋部骨折采用手术治疗,使老人能早期离床,扶拐活动,降低并发症发生率及病死率。因此目前强调对于老年髋部骨折,在条件允许的情况下应尽早手术。
宣武医院骨科对于老年髋骨骨折的治疗,目前相关技术已经非常成熟,比如针对老年股骨颈骨折的人工股骨头置换、全髋关节置换术等,术后第一天即可下床活动;针对股骨转子间骨折,闭合复位髓内钉内固定技术也相当成熟,术后允许患者早期部分活动。除了手术,还要进行规范的抗骨质疏松治疗,预防再次骨折。
目前我院每年诊治髋部骨折患者约500余例,主要包括股骨粗隆间骨折、股骨颈骨折以及部分关节置换后的假体周围骨折。在骨科主任鲁世保教授的带领下,自2019年我科开始将加速康复外科的理念应用于高龄骨科手术的临床实践中,并不断进行完善,这套加速康复外科流程是针对高龄老年患者量身打造的,包括了骨科、麻醉科、药剂科、营养科、康复科、老年科、内科等多科室学科,经过了数轮的讨论研究而设计的。在加速康复外科理念应用于我科室后,高龄髋部骨折患者的围术期的安全性得到了极大的保证,使得更多有复杂合并症的患者可以通过手术获益。

全髋关节置换术示意图
病例1
80岁女性,意外跌倒致左侧股骨颈骨折,于我院行全髋关节置换术,术后第一天即可下地活动。

病例2
86岁男性,主要诊断为左侧髋关节假体周围骨折。患者高龄,身体状况差,并存疾病多,手术风险高而被4家医院拒绝收住院治疗。骨折后的第4天,来宣武医院急诊就诊。入院后启动ERAS流程,麻醉科、心内科等多科协作会诊,入院3天后行髋关节假体周围骨折翻修术。术前准确的评估,周密的制定了围手术期治疗计划,手术顺利完成,。术后第二天患者可以下地站立,并可缓慢在楼道行走。术后第4天顺利出院。

病例3
101岁女性,主要诊断右侧股骨粗隆间骨折、重度骨质疏松。入院后启动高龄ERAS评估,与麻醉科、内科通力合作,入院后48小时内完成微创股骨粗隆间骨折闭合复位髓内钉固定术,术后第3天顺利出院。


















